-
발바닥통증의 원인 10가지카테고리 없음 2025. 7. 27. 14:50
목차
혹시 요즘 아침에 일어나 첫발을 내디딜 때 발바닥이 아프거나,
걷는 중간중간 찌릿한 통증을 느끼신 적 있으신가요?단순한 발 피로라고 생각하고 넘기기 쉽지만,
사실 발바닥 통증은 다양한 질환이나 잘못된 습관에서 비롯된 신호일 수 있어요.





발바닥통증의 원인 지금부터 대표적인 발바닥 통증 원인 10가지,
정확하고 자세하게 소개해드릴게요!발바닥통증의 원인
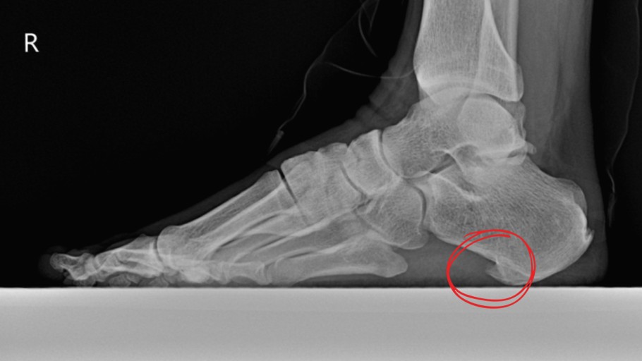
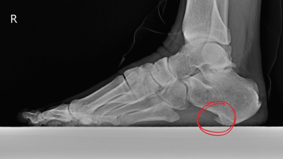
1. 족저근막염
가장 흔한 원인 중 하나로,
발바닥 아치 밑을 지탱하는 족저근막에 염증이 생긴 상태입니다.
특히 아침에 첫발 디딜 때 극심한 통증이 느껴지며,
걷다 보면 통증이 조금 완화되지만 반복적으로 악화됩니다.





발바닥통증의 원인 2. 무지외반증
엄지발가락이 안쪽으로 휘면서 발바닥에 압력이 비정상적으로 분산되어
발바닥 안쪽이 눌리듯 아픈 경우가 많습니다.
하이힐, 꽉 끼는 신발이 주요 원인입니다.3. 지간 신경종 (모튼 신경종)
발가락 사이에 존재하는 신경이 압박되어 두꺼워지는 질환입니다.
발가락 앞부분이나 발바닥 앞쪽이 찌릿하거나, 작열감·이물감이 동반됩니다.
딱딱한 바닥에 오래 서 있거나 꽉 끼는 신발 착용 시 악화됩니다.





발바닥통증의 원인 4. 편평족 (평발)
선천적 또는 후천적으로 발바닥의 아치가 무너져 평평한 상태입니다.
이로 인해 체중이 발 전체에 비정상적으로 실리면서
발바닥 중앙 또는 뒤꿈치 통증이 유발될 수 있어요.5. 하이힐 또는 쿠션 부족 신발 착용
장시간 쿠션 없는 신발을 신거나
하이힐로 체중이 앞꿈치에 집중될 경우,
발바닥에 압박과 피로가 누적되어 만성 통증으로 이어질 수 있습니다.





발바닥통증의 원인 6. 족저 지방패드 위축
나이가 들거나 체중이 감소하면 발바닥의 지방층이 얇아지며 충격 흡수가 어려워짐에 따라
딱딱한 바닥에서 통증이 심해지고, 오래 서 있으면 더욱 아프게 느껴집니다.
노인층이나 마른 체형의 중장년층에게 흔한 원인입니다.7. 아킬레스건 단축 또는 염증
종아리 뒤쪽 근육과 연결된 아킬레스건이 짧거나 염증이 있을 경우,
발바닥 뒤꿈치 쪽이 당기듯 아프고,
계단을 오르거나 뛸 때 통증이 심해집니다.





발바닥통증의 원인 8. 통풍
혈액 내 요산이 쌓여 관절에 결정이 생기면서
발가락 관절 주변이나 발바닥 전체에 극심한 통증을 유발합니다.
한밤중이나 새벽에 갑작스러운 발 통증이 나타나고,
붓고 열이 나는 경우가 많아요.9. 당뇨병성 말초신경병증
당뇨 합병증으로 인해 말초 신경이 손상되면 발바닥이 저리고, 따끔거리며
가끔씩 화끈한 통증이 반복됩니다.
이유 없이 자주 저리거나, 감각이 무뎌지는 느낌이 든다면 반드시 검사가 필요합니다.





발바닥통증의 원인 10. 체중 증가 및 장시간 서 있기
급격한 체중 증가나, 오랜 시간 서 있는 직업군의 경우
발바닥에 지속적인 압력이 가해지면서 근막에 미세 손상이 발생합니다.
특별한 질환이 없어도 통증이 나타날 수 있는 원인입니다.발바닥 통증 관리 시 주의사항
- 👟 발에 맞는 편한 신발 착용 (쿠션감 중요)
- 🧘 족저근막 스트레칭, 종아리 스트레칭 꾸준히 하기
- 🧊 통증 부위에 냉찜질 or 마사지로 순환 개선
- 🔄 장시간 서 있는 경우 중간중간 체중 분산 및 휴식 필요
- 🩺 지속되면 병원에서 X-ray나 초음파로 정확한 진단 받기
발은 우리 몸의 기초입니다.
하루에도 수천 보를 걸으며 고생하는 발바닥이 보내는 신호를 절대 무시하지 마세요.오늘 알려드린 발바닥 통증의 원인 10가지,
당신의 증상과 겹치는 부분이 있다면 작은 습관부터 점검하고 개선해보세요.
걷는 것이 고통이 아닌 즐거움이 되는 하루를 응원합니다! 👣저혈압 증상 10가지
오늘은 흔히 **“혈압이 낮아서 좋은 거 아니야?”**라고 오해하기 쉬운 저혈압에 대해 이야기해보려고 합니다.사실 저혈압도 단순히 수치만 낮은 것이 아니라, 몸 전체에 산소와 영양 공급이 제
dnlzlek.wru.co.kr
당근 효능 부작용
안녕하세요!색깔도 예쁘고 아삭한 식감이 좋은 당근,한 끼 식사에도 간식에도 빠지지 않는 만능 채소죠!하지만 당근은 단순한 채소가 아닙니다.베타카로틴, 비타민 A, 식이섬유, 항산화 성분이
dnlzlek.wru.co.kr
땀띠 가라앉히는 방법 10가지
안녕하세요! 오늘은 여름철 피부 고민 1순위,‘땀띠(한진, 땀물집)’를 빠르게 진정시키는 방법에 대해 이야기해볼게요.땀띠는 땀이 배출되는 땀샘이 막히면서 피부 안에 땀이 고이고,그로 인해
dnlzlek.wru.co.kr