-
폐렴 증상 10가지카테고리 없음 2025. 9. 27. 11:48
목차
안녕하세요! 혹시 감기 증상이 오래가거나 숨쉬기 힘드신가요?
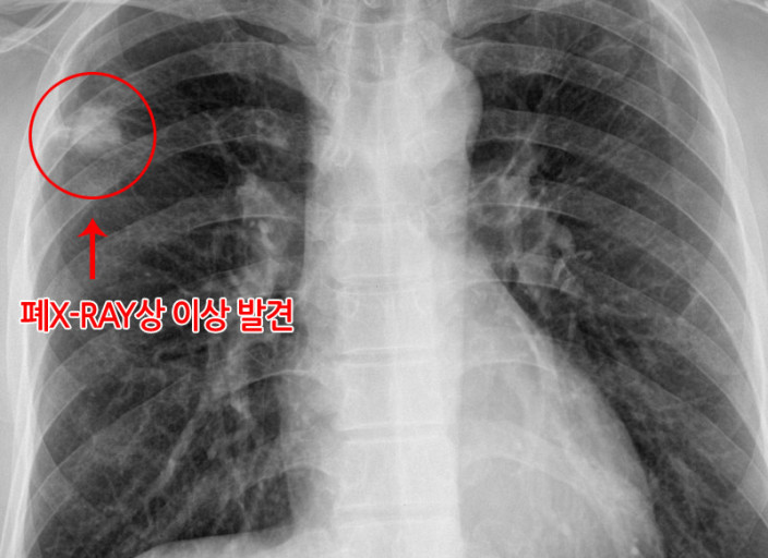
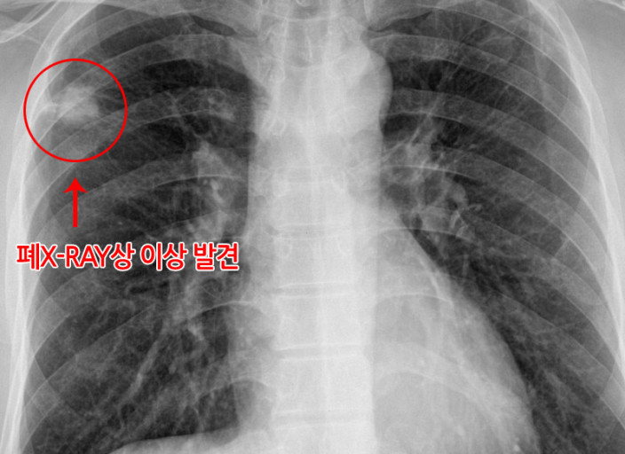
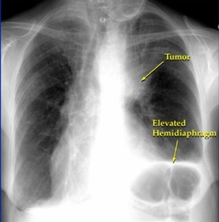
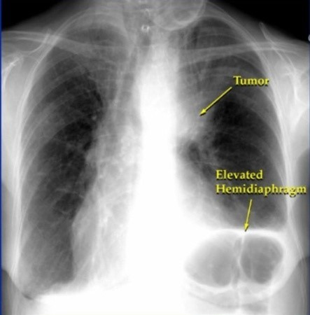
오늘은 단순한 감기와는 달리, 폐에 염증이 생기는 심각한 질환인 폐렴의 증상에 대해 이야기하려 합니다. 폐렴은 세균, 바이러스, 곰팡이 등 다양한 원인에 의해 발생하며, 특히 면역력이 약한 어린이나 노인에게 치명적일 수 있습니다.






폐렴 증상 초기 증상이 감기와 비슷해 방치하다가 병이 악화되는 경우가 많으므로, 증상을 정확히 알고 신속하게 대처하는 것이 매우 중요합니다. 지금부터 폐렴의 10가지 주요 증상들을 꼼꼼히 살펴보고, 건강을 지키는 첫걸음을 함께 시작해 볼까요? 🤒
폐렴의 10가지 주요 증상
폐렴은 보통 갑작스럽게 시작되며, 호흡기 증상과 함께 전신 증상이 복합적으로 나타납니다. 다음은 폐렴 환자들이 흔히 겪는 10가지 주요 증상입니다.
- 고열 및 오한
- 설명: 폐렴의 가장 흔한 초기 증상입니다. 38℃ 이상의 고열이 갑작스럽게 발생하며, 몸이 덜덜 떨리는 심한 오한을 동반하는 경우가 많습니다. 해열제를 먹어도 열이 잘 내리지 않거나, 열이 올랐다 내리기를 반복할 수 있습니다.






폐렴 증상 - 기침 및 가래
- 설명: 감기와 가장 유사한 증상입니다. 처음에는 마른 기침이 나오다가 점차 가래가 동반됩니다. 가래는 노란색이나 녹색을 띠고, 심한 경우 피가 섞여 나올 수도 있습니다. 기침이 오래 지속되고 가래 양이 많아지는 것이 특징입니다.
- 호흡 곤란 및 가슴 통증
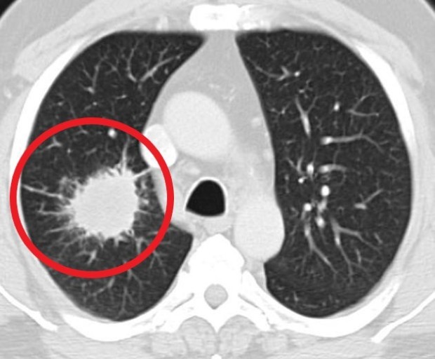
- 설명: 폐렴의 가장 심각하고 중요한 증상입니다. 폐에 염증이 생겨 폐 기능이 떨어지면서 숨쉬기 힘들어지며, 얕고 빠른 호흡을 하게 됩니다. 심한 경우 가슴에 통증을 느끼거나, 옆구리가 결리는 듯한 느낌을 받을 수 있습니다.






폐렴 증상 - 전신 쇠약감 및 피로
- 설명: 몸의 면역 체계가 바이러스와 싸우면서 극심한 피로감과 무기력증을 느낍니다. 기력이 급격히 떨어져 일상생활을 하기 어려울 수 있습니다.
- 두통 및 근육통
- 설명: 온몸의 근육과 관절이 쑤시고 아픈 증상이 동반됩니다. 머리가 지끈거리는 두통도 나타나며, 특히 열과 함께 증상이 심해지는 경우가 많습니다.






폐렴 증상 - 오심 및 구토
- 설명: 특히 소아 폐렴 환자에게서 흔히 나타나는 증상입니다. 메스꺼움을 느끼거나 구토를 할 수 있으며, 식욕 부진으로 이어질 수 있습니다.
- 청색증
- 설명: 폐 기능이 심하게 저하되면 몸에 산소가 부족해져 입술이나 손톱이 파랗게 변하는 청색증이 나타날 수 있습니다. 이는 즉시 응급 처치가 필요한 매우 위험한 상태입니다.






폐렴 증상 - 식욕 부진
- 설명: 전신 증상이 심해지면서 자연스럽게 식욕이 떨어지고, 음식물을 제대로 섭취하기 어려울 수 있습니다.
- 의식 혼미
- 설명: 드물지만, 폐렴이 심하게 진행되면 의식이 혼미해지거나 정신을 잃는 경우가 발생할 수 있습니다. 이는 특히 노인에게서 나타나기 쉬운 증상입니다.






폐렴 증상 - 설사
- 설명: 소아 폐렴 환자에게서 흔히 나타나는 증상으로, 구토와 함께 설사 증상이 동반될 수 있습니다.
폐렴 관리를 위한 간략한 주의사항
- 즉시 병원 방문: 감기 증상이 3~4일 이상 지속되거나, 고열, 호흡 곤란 등 심각한 증상이 나타나면 즉시 병원을 방문하여 정확한 진단과 치료를 받아야 합니다.
- 충분한 휴식: 증상이 나타나면 외출을 자제하고 충분한 휴식을 취해 회복에 집중해야 합니다.
- 수분 섭취: 열과 호흡 곤란으로 인해 탈수 증상이 나타날 수 있으므로 물, 이온 음료 등을 충분히 마셔야 합니다.
오늘 함께 알아본 폐렴의 증상들이 여러분의 건강 관리에 큰 도움이 되었으면 합니다. 폐렴은 초기 대처가 중요한 질환이니 증상을 잘 구분해서 빠르게 대처하는 것이 중요합니다. 오늘 알려드린 내용을 바탕으로 궁금한 점이 있다면 언제든지 전문 의료진과 상담하는 것을 잊지 마세요. 우리 모두 건강한 삶을 위해 노력해요!
갱년기 증상 30가지
인간으로 태어나서 남성과 여성 이라면 누구나 다 한번쯤은 겪게 되는 현상인 갱년기 증상 30가지 자가진단 할 수 있는 증세들에 대해 알아볼건데요. 옛날에는 50대 60대 이후의 중장년 이후에 겪
dnlzlek.wru.co.kr
비타민d 부족증상
안녕하세요! 햇살 비타민, 비타민D 부족 증상이 궁금하신가요?오늘은 우리 몸에 꼭 필요한 영양소, 비타민D의 부족 증상에 대해 이야기하려 합니다. 비타민D는 햇볕을 통해 생성되기 때문에 '햇
dnlzlek.wru.co.kr
변비에 좋은 음식 변비해결방법 10가지
오늘은 많은 사람들이 겪지만 조용히 참기 쉬운 고질병,바로 변비에 대해 이야기해보려고 해요.변비는 단순히 배변이 어려운 증상 이상으로,복부 팽만, 식욕 저하, 두통, 피부 트러블, 피로감까
dnlzlek.wru.co.kr
- 고열 및 오한