-
폐암 초기증상 10가지카테고리 없음 2025. 8. 22. 12:43
목차
오늘은 우리 몸의 호흡을 책임지는 폐에 대해 이야기하려 합니다. 특히, 폐에 발생하는 악성 종양인 폐암의 초기 증상에 대해 자세히 알아보려 합니다.






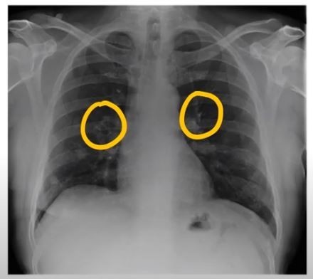
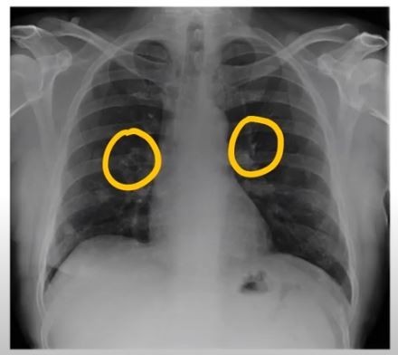
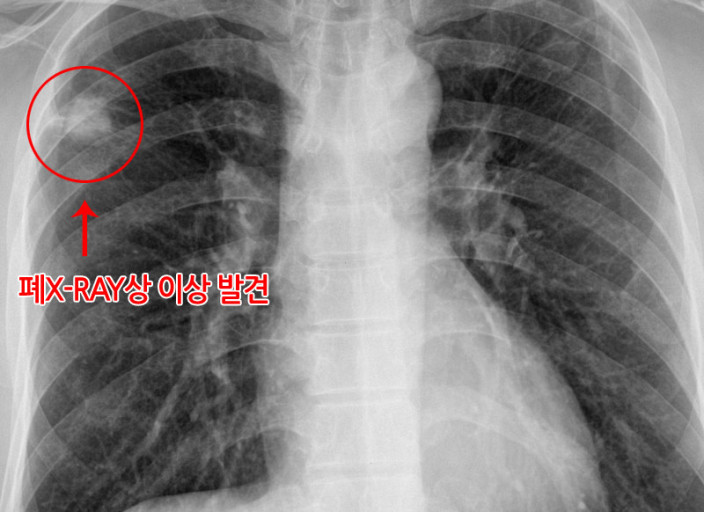
폐암 초기증상 폐암은 초기 증상이 감기나 다른 호흡기 질환과 비슷해 간과하기 쉽습니다. 하지만 조기 발견이 치료에 매우 중요하기 때문에, 미묘한 변화라도 놓치지 않는 것이 중요합니다. 지금부터 폐암의 주요 초기 증상들을 꼼꼼히 살펴보고, 건강을 지키는 첫걸음을 함께 시작해 볼까요?
폐암 초기증상
폐암 초기에는 특별한 증상이 없는 경우가 많지만, 암이 진행되면서 다양한 신호를 보낼 수 있습니다. 다음은 폐암 환자들이 흔히 경험하는 10가지 주요 초기 증상입니다.
지속적인 기침
- 설명: 특별한 이유 없이 2주 이상 계속되는 기침은 폐암의 가장 흔한 초기 증상입니다. 감기약이나 항생제에도 잘 낫지 않고, 점차 심해지는 경향이 있습니다.






폐암 초기증상 가래에 피가 섞여 나옴 (객혈)
- 설명: 붉은색이나 녹슨 철 색깔의 피가 가래에 섞여 나오거나, 심한 경우 기침할 때 피만 나오는 증상입니다. 이는 폐암이 혈관을 침범했을 때 나타나는 중요한 경고 신호입니다.
호흡 곤란 및 숨 가쁨
- 설명: 암이 커져 기관지를 막거나 폐의 기능을 저하시키면, 조금만 움직여도 숨이 차고 답답한 느낌이 들 수 있습니다.






폐암 초기증상 쉰 목소리
- 설명: 폐암이 목소리를 내는 성대 신경을 압박하면 목소리가 쉬거나 목이 잠기는 증상이 나타날 수 있습니다.
가슴 통증
- 설명: 폐암이 흉벽(가슴 벽)까지 침범하면 찌르는 듯한 통증이나 둔하고 지속적인 통증이 발생할 수 있습니다.






폐암 초기증상 체중 감소
- 설명: 암세포가 빠르게 증식하면서 많은 에너지를 소모해 특별한 이유 없이 식사량 감소와 함께 체중이 급격하게 줄어듭니다.
피로감
- 설명: 암세포가 정상적인 신체 기능을 방해하고 에너지를 소모하면서 쉽게 지치고 만성적인 피로를 느끼게 됩니다.






폐암 초기증상
어깨 및 팔 통증
- 설명: 폐의 꼭대기 부위에 암이 생기면 어깨나 팔로 가는 신경을 압박해 통증을 유발할 수 있습니다.
두통, 어지럼증
- 설명: 폐암이 뇌로 전이되거나 상체로 가는 혈관을 막으면 두통, 어지럼증, 혹은 팔다리 마비와 같은 신경학적 증상이 나타날 수 있습니다.






폐암 초기증상 목이나 얼굴의 부종
- 설명: 폐암이 목의 림프절을 막거나, 상체에서 심장으로 혈액을 운반하는 상대정맥을 압박하면 목이나 얼굴이 붓는 증상이 나타날 수 있습니다.
폐암 관리를 위한 간략한 주의사항
- 금연: 흡연은 폐암의 가장 큰 원인이므로, 즉시 금연하는 것이 중요합니다. 간접흡연도 피해야 합니다.
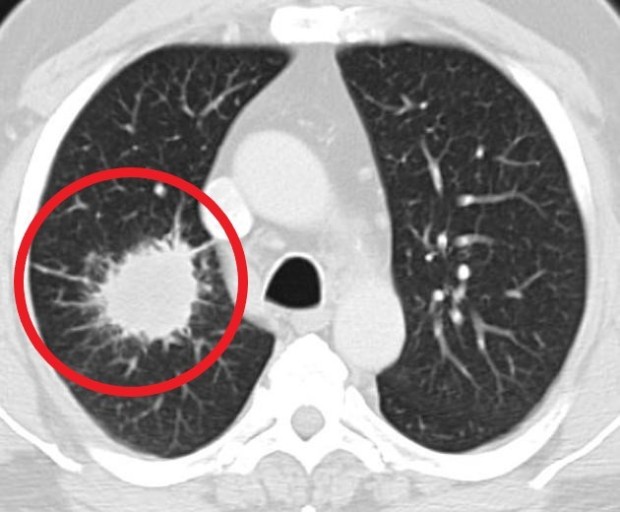
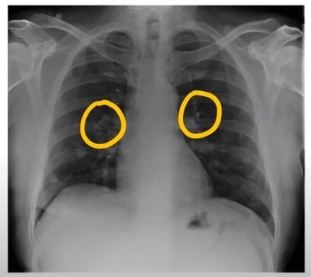
- 정기적인 건강 검진: 특히 흡연자나 가족력이 있는 경우, 저선량 흉부 CT와 같은 정밀 검진을 통해 조기에 발견해야 합니다.
- 건강한 생활 습관: 균형 잡힌 식단과 규칙적인 운동은 면역력 강화에 도움이 됩니다.
- 증상 관찰: 위와 같은 증상이 지속될 경우, 단순한 감기로 치부하지 말고 반드시 병원을 방문하여 전문의와 상담하세요.
오늘 함께 알아본 폐암 초기 증상들이 여러분의 건강 관리에 큰 도움이 되었으면 합니다. 폐암은 조기에 발견하면 완치율이 높은 암이므로, 자신의 몸에 나타나는 작은 신호에도 귀 기울이는 습관을 들이는 것이 중요합니다. 오늘 알려드린 내용을 바탕으로 자신의 건강을 체크하고, 궁금한 점이 있다면 언제든지 전문 의료진과 상담하는 것을 잊지 마세요. 우리 모두 건강한 삶을 위해 노력해요!
변비에 좋은 음식 변비해결방법 10가지
오늘은 많은 사람들이 겪지만 조용히 참기 쉬운 고질병,바로 변비에 대해 이야기해보려고 해요.변비는 단순히 배변이 어려운 증상 이상으로,복부 팽만, 식욕 저하, 두통, 피부 트러블, 피로감까
dnlzlek.wru.co.kr
흑마늘 효능 10가지
혹시 요즘 면역력 강화, 피로 회복, 혈관 건강에 좋은 음식 찾고 계셨나요?그렇다면 오늘 소개할 흑마늘이 딱입니다.흑마늘은 일반 생마늘을 일정 온도와 습도에서 약 3주간 숙성·발효시켜 만든
dnlzlek.wru.co.kr
통풍 증상 10가지
오늘은 **"바람만 스쳐도 아프다"**는 말로 잘 알려진 통풍에 대해 이야기해보려고 합니다.한때는 중장년층 남성 질환으로 여겨졌지만, 요즘은 젊은 층에서도 음주·단백질 과잉 섭취, 스트레스
dnlzlek.wru.co.kr